2026年03月15日 星期日 [关闭窗口]    
请稍候...
 宜宾市第二人民医院  院内新闻 

我院开展炫速双源CT对风心病的换瓣或成形术术前、术后评估技术  

上一条  发布日期:2013-02-10 15:14:08 更新日期:2013-03-10 21:18:15 点击次数:11426   下一条

    实际工作中,以往由于CT时间分辨率低(最高165ms左右),瓣膜显示不清楚,故较少应用CT来评估瓣膜的损害情况。炫速双源CT与超声和128排、320排CT比较,其时间分辨率最高,达75ms,并且具有回顾性心电门控螺旋扫描、前瞻性扫描和炫速螺旋扫描三种扫描模式,适合任何心率和心律的心脏显像,加上其功能强大的后处理工作站,显示心脏和其血管解剖结构时具明显优势。

    在对风心病的换瓣或成形术术前、术后评估中具有较大的临床意义。①术前评估有无冠状动脉病变。 ②二尖瓣球囊成形术前评估有无左心房血栓、二尖瓣钙化等。 ③不明原因或高度怀疑大动脉炎累及主动脉瓣时,评估大动脉炎累及主动脉、肺动脉、肾动脉等情况。 ④瓣膜置换术后并发症的诊断,如瓣周瘘、血栓、心内膜炎等。最近开展的经导管主动脉瓣置换术,患者在术前需行CT检查,以评估主动脉瓣钙化、瓣环及窦管交界径线、冠状动脉病变及其开口位置、升主动脉扩张、股髂动脉狭窄情况等。炫速双源CT检查是经导管主动脉瓣置换患者术前评估、术后随访的主要无创检查手段。

应用举例一 风心病术前检查(如下图):

我院开展炫速双源CT对风心病的换瓣或成形术术前评估技术我院开展炫速双源CT对风心病的换瓣或成形术术前、术后评估技术

我院开展炫速双源CT对风心病的换瓣或成形术术前、术后评估技术我院开展炫速双源CT对风心病的换瓣或成形术术前、术后评估技术

    左心房室明显扩大,舒张期左心房短径6.1cm,左心室短径6.1cm,左心房室后上部大块不规则形充盈缺损,大小约2.3cm×5.3cm×3.6cm,无强化,右后缘局部斑片状钙化。右心房室略扩大。心脏各房室壁未见确切异常密度影。

    二尖瓣明显钙化,以下部为主,舒张期开口大小约13mm×7mm,收舒期未完全闭合。主动脉瓣后部明显增厚、钙化,收缩期开口不全。扫及双侧肺血管和主动脉未见异常。

    左右冠状动脉起源于左右冠状动脉窦内上部,分布走行未见异常,呈右冠优势型。左右冠状动脉各段壁光整,表面无心肌覆盖,腔连续通畅。

诊断意见:

1.左心房室明显扩大,右心房室略扩大,二尖瓣钙化伴狭窄和关闭不全,主动脉瓣钙化伴狭窄,考虑为风心病。

2.左心房后上部充盈缺损(多为附壁血栓),右后缘斑片状钙化。

3.左、右冠状动脉未见异常。

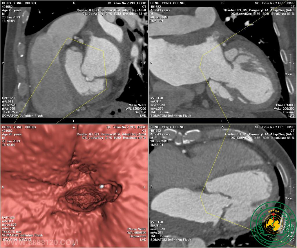
应用举例二 风心病换瓣术后检查(如下图):

我院开展炫速双源CT对风心病的换瓣或成形术术前、术后评估技术我院开展炫速双源CT对风心病的换瓣或成形术术前、术后评估技术

    左右冠状动脉起源于左右冠状动脉窦内上部,分布走行未见异常,呈右冠优势型。LAD近段多发钙化,腔变窄约30%。RCA和LCX近段点状钙化,腔无明显狭窄。余冠状动脉各段壁光整,表面无心肌覆盖,腔连续通畅。     

    主动脉瓣和二尖瓣换瓣术后改变,舒张期主动脉瓣关闭,二尖瓣大开放。全心明显增大。主动脉根部混合密度影,腔无明显狭窄或扩张。

诊断意见:

1.LAD近段多发钙化,腔轻度狭窄;RCA和LCX近段点状钙化,腔无明显狭窄。

2.主动脉瓣和二尖瓣换瓣术后改变,舒张期主动脉瓣关闭,二尖瓣大开放;全心明显增大。

3.主动脉根部混合斑块,腔无明显狭窄或扩张。

 

 

本文作者:陈洪亮 [本条信息由 医学影像中心 陈洪亮 上传]

上一条:康复科护理团队下一条:年初一,新春的问候