2026年03月15日 星期日 [关闭窗口]    
请稍候...
 宜宾市第二人民医院  院内新闻 

放疗科特色技术  

上一条  发布日期:2012-11-28 02:10:00 更新日期:2012-12-02 21:01:08 点击次数:23166   下一条

放疗科特色治疗技术

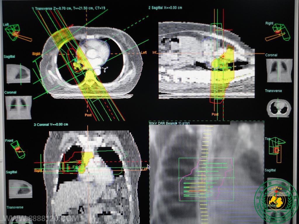
一、图像导航放射治疗(IGRT)

图像导航放射治疗IGRT是一种四维放射治疗技术,它在三维放疗技术的基础上加入了时间因素的概念,充分考虑了解剖组织在治疗过程中的运动和分次治疗间的位移误差,如呼吸和蠕动运动,日常摆位误差,靶区收缩等引起的放疗剂量分布的变化和对治疗计划的影响等方面的情况,在患者进行治疗前、治疗中利用各种先进的影像设备对肿瘤及正常器官进行实时的监控。并能根据器官位置的变化调整治疗条件使照射野紧紧“追随”靶区。使之能做到真正意义上的精确放疗。

放疗科特色技术放疗科特色技术放疗科特色技术

               图像引导XVI(Conebeam CT)扫描复位

二、容积弧形调强放射治疗(VMAT)

容积弧形调强放射治疗技术(VMAT)是在图像引导放射治疗技术(IGRT)基础上成功研发,集新型高精尖加速器与逆向优化治疗计划设计软件、精密三维和两维的剂量验证设备于一身。该项技术可满足全身各部位肿瘤治疗的需要,更适合早期癌症的治疗。此项技术已在我科成功开展,是继华西医院之后省内第二家开展该项技术的单位,该项技术的开展大力提升了我可放射治疗水平。

作为目前国际最先进的放射治疗技术,VMAT具有"快、准、优"的特点。在时间方面,传统放射治疗过程需15-30分钟,而该技术将整个治疗过程缩短至2-6分钟,有效提高肿瘤控制率;在准确程度上,该技术可在360度多弧设定的任何角度范围内旋转照射,比传统治疗方式照射范围更大。同时,该技术还能调整控制放射线在肿瘤上的强度,每次治疗时可立即取得三维电脑断层扫瞄影像并做精准治疗定位;此外,VMAT治疗技术不仅让放射线随着肿瘤厚度调弱、增强,还能考虑肿瘤体积各部位的厚薄不同,来给予最适合的放射线强度,同时闪开在肿瘤中间或凹陷处的如眼球、脊髓等重要人体器官,增加肿瘤控制率,降低正常组织并发症的机率,减少治疗后的副作用。
      VMAT
治疗技术在放射治疗前、放射治疗中能实时对肿瘤及肿瘤周围正常器官进行CT扫描监控,根据肿瘤及器官位置的变化、肿瘤的厚度、体积等调整治疗条件,使放射线紧紧跟踪肿瘤进行精准治疗。此外,该项技术还能随时对肿瘤放射剂量的精度进行调整,克服呼吸运动、器官蠕动及日常摆位误差,人体重要器官和组织能得到更好的保护。

放疗科特色技术放疗科特色技术

                                调强放疗技术(IMRT、IGRT、VMAT)

放疗科特色技术放疗科特色技术

                                                VMAT专用剂量验证设备 ArcCHECK

放疗科特色技术放疗科特色技术放疗科特色技术放疗科特色技术放疗科特色技术放疗科特色技术

  盆腔宫颈癌及头颈下咽癌、喉癌VMAT调强靶区高剂量、正常组织低剂量及剂量验证高度吻合

三、三维适形放疗技术(3D-CRT)

三维适形放疗技术即(3D-CRT),近年来特别强调由平面二维定位过渡到立体三维定位,与其相适应的遮光器,能够随射野改变而适形变化,准确适应肿瘤形状,使高剂量区分布形状在三维方向上与病变靶区完全一致。使射野形状与病变靶区的投影保持一致,多叶遮光器对射野内诸点的输出剂量率按要求不断进行调整。从三维任意角度勾画肿瘤靶区,能清楚地将均匀的高剂量锁定在该区域,而周围正常组织几乎不受照射,或者少受照射,通过增加肿瘤区照射剂量,从而达到提高肿瘤控制率的目的。目前这项技术已比较成熟,在肺癌、前列腺癌和乳腺癌等肿瘤治疗中,已经显示出非常好的前景。

放疗科特色技术放疗科特色技术放疗科特色技术放疗科特色技术放疗科特色技术放疗科特色技术

      盆腔肿瘤及肺癌3DCRT靶区、射野及DVH放疗科特色技术放疗科特色技术放疗科特色技术放疗科特色技术

      NPC  3DCRT靶区、射野、射束及DVH

 四、后装腔内治疗:

后装腔内放疗技术是利用人体组织中的天然管腔,将放射源步进式输送到治疗部位,根据临床需要,改变不同位置的驻留时间,优化剂量分布,实现临床治疗目的。在临床应用时,后装腔内放疗以其剂量分布大的特点,能较大幅度地增加肿瘤原发部位的剂量而较少邻近重要器官的受量,通常作为3D-CRTIGRTVMAT等体外照射技术的补量照射手段,是目前恶性肿瘤的主要治疗手段之一,特别是对妇科肿瘤宫颈癌的治疗,后装具有天然的“适应性”,效果肯定,尚无其他治疗手段替代。目前多应用于治疗宫颈癌、鼻咽癌等肿瘤的治疗。

放疗科特色技术放疗科特色技术放疗科特色技术放疗科特色技术

放疗科特色技术放疗科特色技术

 

中国核动力研究院产钴-60六通道后装治疗机,用于子宫、鼻咽、食道、直肠等部位肿瘤的腔内放射治疗

 

五、电子线照射技术

 高能电子是质量最小的带电粒子、X线或γ线不同,是电子加速后被直接引出(电子束)用来治疗肿瘤。它不但能直接杀伤或电离细胞,而且是从入射表面就已开始。从表面到一定深度,剂量分布大而均匀,能量越高深度越大。超过这个深度,剂量就很快下降,所以它能很好地保护肿瘤后面的正常组织器官。
   
根据电子线特点,我们用高能电子线治疗那些浅表层的和偏心的淋巴瘤、表浅肿瘤、纤维疤痕收到独有的良好效果,而且多用单野照射(从一个方向入射)。目前,我科Synergy医用加速器能提供很多档不同能量的电子线,可根据肿瘤深度选择相应的能量。特别是在淋巴瘤的手术中放疗,高能电子线的优点尤为突出。因为,它能使暴露的淋巴瘤病灶接受高剂量射线,使病灶后面组织的剂量迅速衰减,再加上周围正常器官可用铅挡或推开,可以理想地保护正常组织。

 

 

 

                                           放疗科    胡明宗

 

                                            2012年10月27

[本条信息由 放疗科 上传]

上一条:国家级继续教育“肿瘤个体化治疗”研讨会圆满成功下一条:消化科成功举办省继教项目