2026年03月15日 星期日 [关闭窗口]    
请稍候...
 宜宾市第二人民医院  院内新闻 

颅底外科新手术入路完成颅内外沟通肿瘤切除术两例  

上一条  发布日期:2015-06-15 14:09:25 更新日期:2015-06-16 11:04:27 点击次数:9542   下一条

颅底外科新手术入路完成颅内外沟通肿瘤切除术两例

    近日我科收治2例颅内外沟通肿瘤,肿瘤经中颅窝-翼腭窝、中颅窝-颞下窝向颅外生长;经术前精心准备,2例手术均由我科易勇主任医师主持、周世军副主任医师协助、王瀚医师参与、江竟成医师行术中神经电生理监测;手术采取“扩大中颅凹底入路”方式切除肿瘤,术中断开颧弓利于暴露、切除肿瘤,两例患者术后均恢复良好。该入路方式在我市属于首次应用,体现了我院神经外科颅底专业在市内领先水平。

图示两例患者术前肿瘤位置

患者1

新手术入路完成颅内外沟通肿瘤切除术两例

新手术入路完成颅内外沟通肿瘤切除术两例

新手术入路完成颅内外沟通肿瘤切除术两例

患者2

新手术入路完成颅内外沟通肿瘤切除术两例

新手术入路完成颅内外沟通肿瘤切除术两例

新手术入路完成颅内外沟通肿瘤切除术两例

图示手术入路皮瓣设计

新手术入路完成颅内外沟通肿瘤切除术两例

图示切除颅内肿瘤后暴露颅外肿瘤

新手术入路完成颅内外沟通肿瘤切除术两例

图示全切颅内外肿瘤后,仍保留的三叉神经上颌支新手术入路完成颅内外沟通肿瘤切除术两例

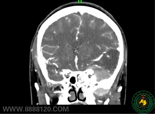
术后复查头颅CT示:术后骨瓣及颧弓复位良好

新手术入路完成颅内外沟通肿瘤切除术两例

本文作者:周世军 [本条信息由 神经外科一科 江竟成 上传]

上一条:2015年端午节总院门诊排班表下一条:术中神经电生理监测手段帮助提高手术质量