2026年03月15日 星期日 [关闭窗口]    
请稍候...
 宜宾市第二人民医院  院内新闻 

360°减压复位融合技术创造手术辉煌  

上一条  发布日期:2014-02-14 14:46:57 更新日期:2014-02-14 14:49:10 点击次数:6308   下一条

360°减压复位融合技术创造手术辉煌

日前,一位胸椎脱位、多发肋骨骨折的患者经过我院骨科、胸外科医护人员的联合竭力抢救,不仅挽回了生命,而且避免了双下肢瘫痪,这让更多患者又看到了生的希望!

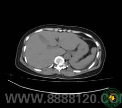
 360°减压复位融合技术创造手术辉煌360°减压复位融合技术创造手术辉煌

手术前CT显示椎管变形                 手术前X光片显示第十胸椎向右错位

360°减压复位融合技术创造手术辉煌360°减压复位融合技术创造手术辉煌

                     手术后正位X光片显示脱位完全复位

   这是一位来自筠连县城的建筑女工人,不久前在工作时不幸发生了意外,外伤后她先被送到了当地医院,当地医生经过检查后诊断为第1011胸椎脱位,受当地医疗条件所限,该患者被及时送到了我院骨科进行检查治疗。患者的CT、磁共振检查显示第1011胸椎骨折合并侧方脱位,脊髓被扭曲成S形状,并伴有多发性肋骨骨折、血气胸,这在临床上相当少见。骨科宋玉光副主任医师带领江祖洪医生等多名医务人员,待病人生命体征平稳后,为病人进行了胸椎减压复位固定融合手术。由于病人与常见的脊柱前后脱位不同,且患者没有脊髓损伤,手术难度较大,不仅要在脊椎后路操作,还要同时打开脊椎前路施行手术,而且稍有不慎就会损伤脊髓,导致病人双下肢完全瘫痪。宋玉光副主任医师成功运用360°环形减压和当今最为先进的一个切口行后路固定,侧前路减压融合手术。经过3个多小时的紧张手术,手术顺利完成,术后患者双下肢运动感觉正常如前,手术取得圆满成功。该手术的成功完成再次体现了我院骨科在宜宾市的技术领导地位。

[本条信息由 党委办公室 上传]

上一条:宜宾市第二人民医院开展消防疏散演练下一条:大年初一院领导慰问全院值班医务人员