2026年03月19日 星期四 [关闭窗口]    
请稍候...
 宜宾市第二人民医院  院内新闻 

全腔镜边缘性巨大切口疝修补患者康复出院  

上一条  发布日期:2020-10-27 16:34:07 更新日期:2020-10-28 08:05:33 点击次数:5454   下一条

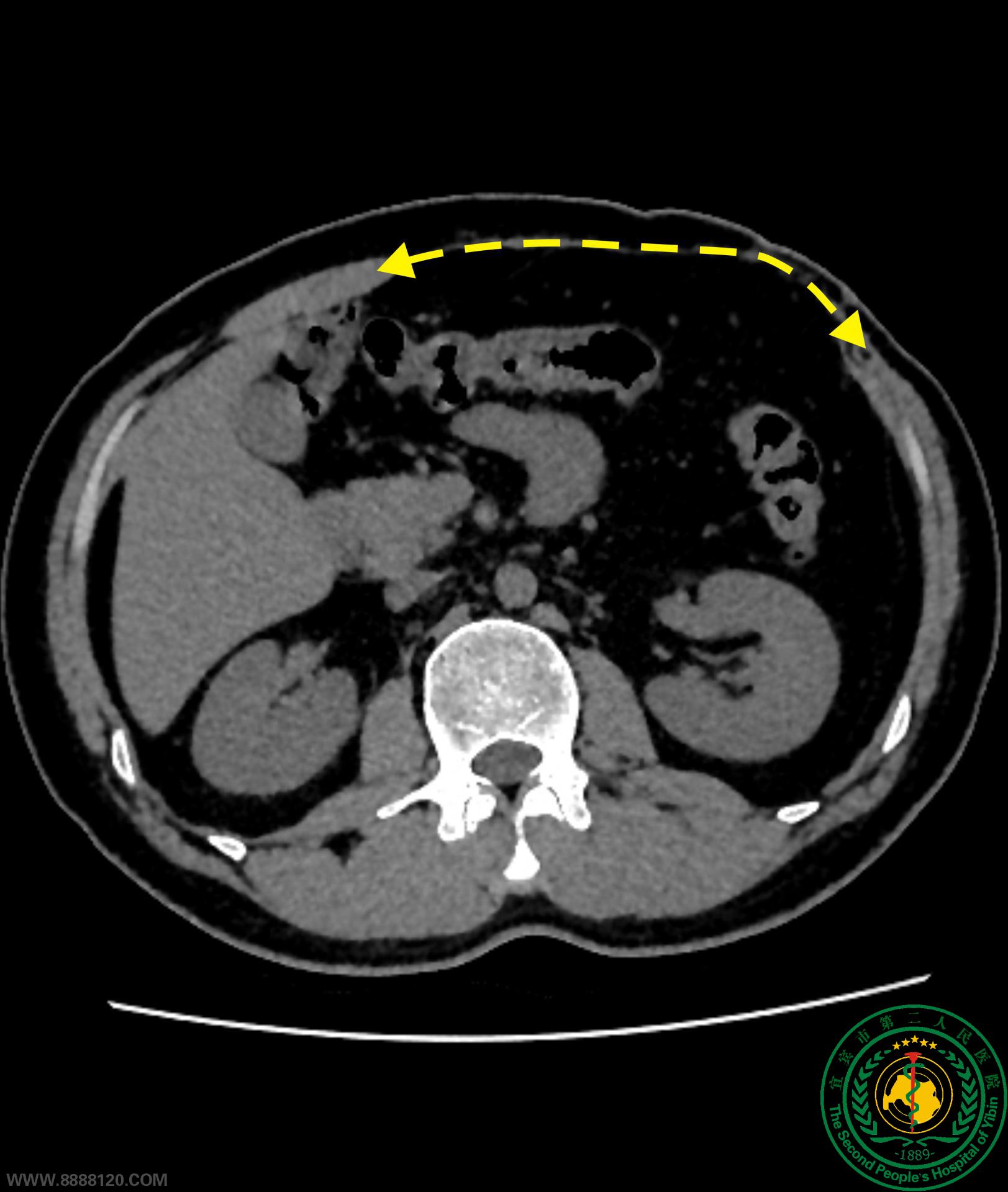
近日,胃肠外科成功为一名33岁的男性患者实施了全腔镜巨大腹壁边缘性切口疝修补。

患者因“车祸伤”术后1年,反复突出性腹部包块来我院住院治疗。经CT发现患者腹壁属既往外伤手术后形成的沿肋缘巨大缺损、缺损范围约15×20cm。由于患者腹直肌萎缩明显,若采用组织分离重建技术(CST)重建腹壁,则可能导致患者腹壁功能损害,并发症增多。经过充分的评估及周密设计后,胃肠外科手术团队为其实施了完全腹腔镜腹壁缺损桥接、疝补片修补术。术后在快速康复流程指导下,术后当天正常进食、下床活动。

腹壁切口疝产生的原因很多,切口感染、切口裂开、术后剧烈咳嗽等腹内压增高等情况都可导致切口疝的发生。切口疝给患者造成很大的痛苦并影响其生活和工作。切口疝不能自愈,及时手术修补是唯一有效的手段。

全腔镜边缘性巨大切口疝修补患者康复出院全腔镜边缘性巨大切口疝修补患者康复出院



本文作者:胃肠外科 [本条信息由 胃肠疝外科 上传]

上一条:科室再次举办胃肠肿瘤微创手术全网直播交流下一条:宜宾二医院:组织慰问获得抗美援朝出国作战纪念章的退休老职工