2026年03月16日 星期一 [关闭窗口]    
请稍候...
 宜宾市第二人民医院  院内新闻 

我科完成一例肾多发复杂肿瘤切除术  

上一条  发布日期:2017-07-31 00:12:37 点击次数:7026   下一条

VHL综合征是“Von Hippel-Lindau综合征的简称,即CNS血管母细胞瘤合并肾脏或胰腺囊肿、嗜铬细胞瘤、肾癌以及外皮囊腺瘤等疾病。VHL 综合征表现为一系列的病变,基本组成分为两部分:视网膜、脑干、小脑或脊髓的血管母细胞瘤;腹腔脏器病变(嗜铬细胞瘤、肾囊肿或肾细胞癌、胰腺囊肿等)。不同病变的组合其临床表现不相同。

   该患者因发现左侧肾脏多发肿瘤入我科。患者因肿瘤数目多,手术难度大在多家医院求治未果


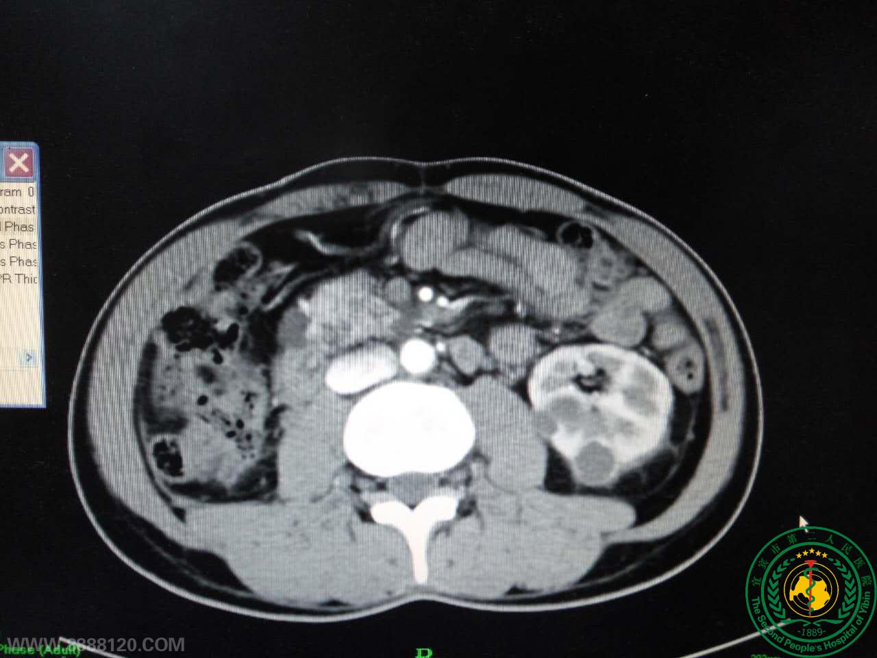
患者CT提示肾多发肿瘤

患者入院后,我科医护人员高度重视,王万东主任组织全科医护人员讨论,根据患者体质弱,肿瘤数目多,病情制订详细的治疗方案.由雷星辉副主任医师,江永浩副主任医师,车星奎医师马强医师组成手术小组.完善术前准备后,经过近3小时的精心手术,顺利完整切除患者4处肿瘤病灶,2处囊肿病灶,



术中见肾多发肿瘤伴多发肾囊肿


术后经全科医护人员的精心护理,术后患者恢复良好.

 

   该手术的完成,体现了我科在对肾多发肿瘤的诊治上再上新台阶,积累了对复杂肾肿瘤诊治更丰富经验。

 



[本条信息由 泌尿外科 江永浩 上传]

上一条:我院“八一”前夕开展慰问活动下一条:精湛技术与温馨服务的完美结合————口腔科四手操作