2026年03月15日 星期日 [关闭窗口]    
请稍候...
 宜宾市第二人民医院  院内新闻 

我院PET/CT 一年来的回顾  

上一条  发布日期:2014-11-19 10:10:52 更新日期:2014-11-19 10:36:32 点击次数:9019   下一条

PET/CT 一年来的回

                     ——从多起病例意外发现体现其临床价值

  PET/CT作为生物分子影像,一问世就给医疗影像诊断世界带来了革新,特别在肿瘤疾病方面获得了重大价值,其价值体现在临床医生对其充分的认识和应用。我院PET/CT投入近一年来,诊断多起疑难病例,为临床提供了重要诊疗信息,现就部分病例汇报,以供交流:病例1为颈部淋巴结肿大患者,外院病检为淋巴结转移鳞癌,外院三甲医院头颈部CT未见原发灶,胸片未见异常,我院PET/CT发现喉咽部高葡萄糖代谢灶,诊断恶性病变。回顾看外院CT片,发现喉咽后壁已明显增厚,只是增强不明显而漏诊,后我院MRI进一步显示为恶性肿瘤。病例2为发现脑部转移灶,常规胸片及其他部位未见原发灶,PET/CT见右肺门局限性高葡萄糖代谢灶,临近气管受压,诊断肺Ca,进一步诊断性CT印证了PET/CT的发现,肺门结构复杂,肿块不大时易漏诊。病例3为淋巴瘤放化疗多个次的患者,患者无不适症状,颈胸部检查正常,PET/CT意外发现腹主动脉旁淋巴结异常高代谢,诊断淋巴瘤(未痊愈),为临床进一步治疗提供依据。

  病例1:外院增强CT未发现病灶                                              我 院 PET/CT发现喉咽后壁高葡萄糖代谢恶性肿瘤

我院PET/CT 一年来的回顾

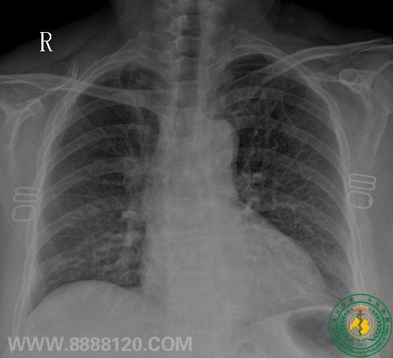
病例2:MRI发现脑转移瘤                       X线胸片右上肺少许炎变                           PET/CT发现右肺门中央型Ca

 

病例3:淋巴瘤放化疗几个疗程后,PET/CT发现腹部残留病灶

 

PET/CT作为分子代谢显影技术,提供了解剖及分子功能信息,可以发现临床遗漏的、未想到的更多的疾病相关信息,提高对疾病的认识及个性化的疗效,减少延误治疗。

何种情况下PET/CT可以提供有价值信息?

● 肿瘤治疗(放疗、化疗等)的疗效监测、评估;及后期随访观察。

● 肿瘤分期、分级及全身情况的评估

● 肿瘤的诊断与鉴别诊断和全身转移灶探查

● 寻找肿瘤原发灶。

● 肿瘤治疗后复发和瘢痕、坏死等的鉴别

● 辅助治疗方案的制定

● 指导临床活检、放疗及介入治疗的精确定位

本文作者:汪建强 [本条信息由 核医学科 汪建强 上传]

上一条:神经内科癫痫检查新技术下一条:呼吸内科医护人员为康希洪老人百岁生日祝寿!