2026年03月16日 星期一 [关闭窗口]    
请稍候...
 宜宾市第二人民医院  院内新闻 

多学科联合协作,民工兄弟转危为安  

上一条  发布日期:2019-08-21 08:27:48 点击次数:4581   下一条

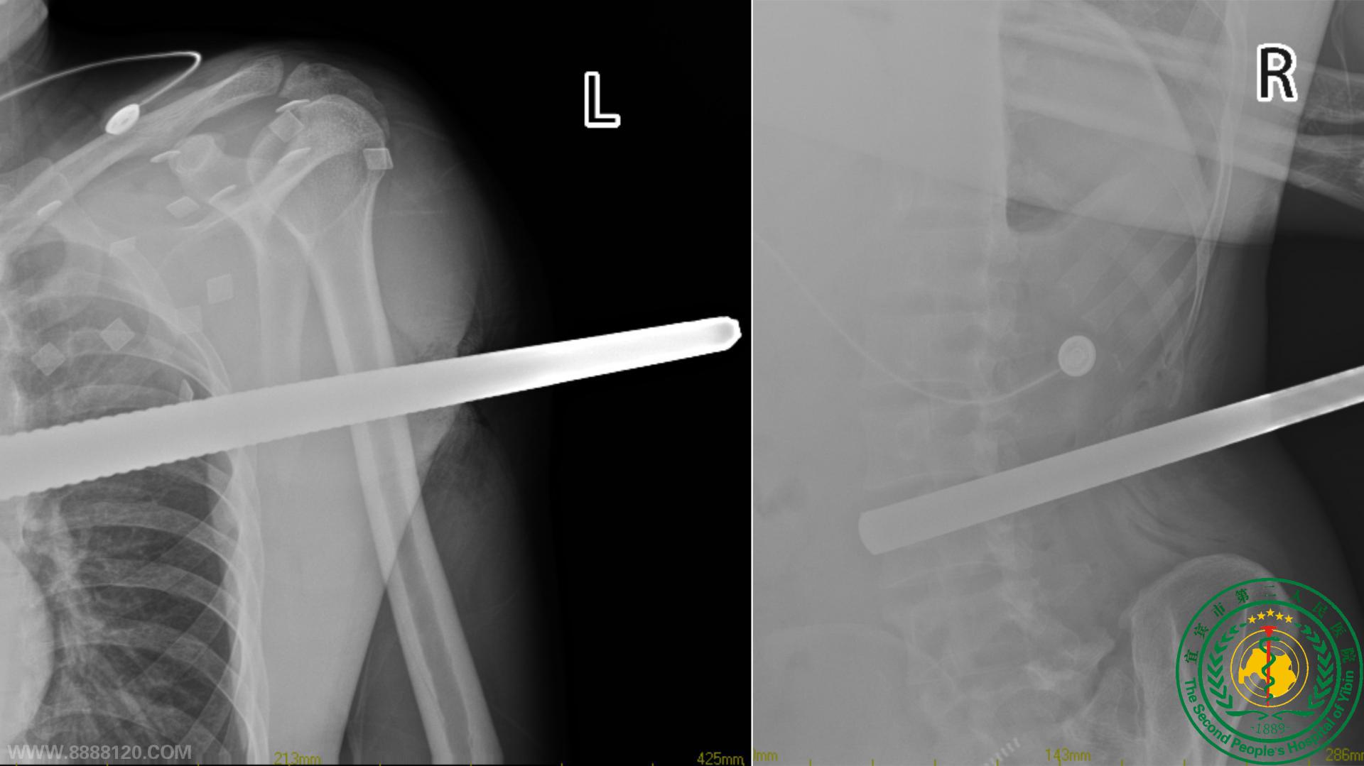
      89日晚上,宜宾二院胃肠外科接诊了一名来自云南昭通永善县的36岁男子,当天下午该男子从2米高的建筑工地坠落,被2根直径约5cm的螺纹钢筋穿透腹部、左手臂等处,情况危急。
      在医务人员提供保障的前提下,消防官兵速战速决,用液压剪先将男子身上的钢筋切断。随后胃肠外科、骨科、泌尿外科、麻醉科、ICU、放射科等科室联合协作,紧急会诊,制定抢救方案,历经过6个小时的紧急救治,插入该男子体内的2根钢筋被成功取出。目前,目前患者已脱离生命危险,由重症监护室转回普通病房。
多学科联合协作,民工兄弟转危为安多学科联合协作,民工兄弟转危为安
多学科联合协作,民工兄弟转危为安多学科联合协作,民工兄弟转危为安
[本条信息由 胃肠疝外科 上传]

上一条:“标准、规范、创新、筑梦”--四川省护理学会2019年静脉输液学术年会在宜宾隆重举行!下一条:剖析自我,做更好的自己 ——儿科“我的自画像”思维导图绘制大赛