2026年03月16日 星期一 [关闭窗口]    
请稍候...
 宜宾市第二人民医院  院内新闻 

让微弱的生命火花重放异彩  

上一条  发布日期:2019-01-10 10:59:25 更新日期:2019-01-11 08:42:02 点击次数:12220   下一条

                                                             

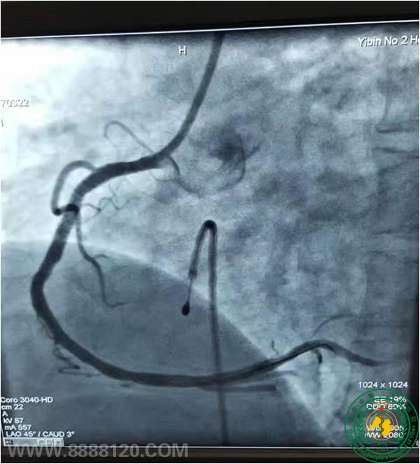
        2017年3月21日下午5时,一位来宜出差的41岁患者突发心肌梗死被急诊送入我科,心源性休克、心动过缓,大小便失禁。没有亲属陪同、来不及交费。生死攸关,在和家属短暂电话沟通后,患者被紧急送入导管室……临时起搏加冠脉介入,一刻钟内闭塞的血管被打通……一个年轻的生命在劫难中再获新生、一个行将崩溃的家庭得以救赎……感谢同事们的协作,让微弱的生命火花重放异彩,这是医者存在的价值,我们累并快乐着!

 

[本条信息由 心血管内二科 淡雪川 上传]

上一条:防患于未然下一条:齐心协力、共建胸痛中心