2026年03月16日 星期一 [关闭窗口]    
请稍候...
 宜宾市第二人民医院  院内新闻 

消化内镜医生的第三只眼----超声内镜  

上一条  发布日期:2024-01-22 22:03:58 更新日期:2025-09-19 23:18:57 点击次数:4330   下一条

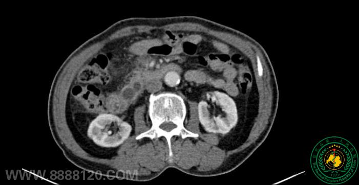
案例一:患者68岁男性,因“持续性上腹疼痛16天”入院。入院后查胰腺炎及肿瘤标志物均正常,磁共振CT均提肝内外胆管及主胰管扩张,没有发现明确占位病变超声内镜检查发现了一个大小约1.9×1.2cm的胰腺微小肿瘤。

消化内镜医生的第三只眼----超声内镜

CT

消化内镜医生的第三只眼----超声内镜

MRCP

消化内镜医生的第三只眼----超声内镜

超声内镜

案例二:患者41岁女性,“上腹痛1周,加重5小时”急诊入院。入院血检提示胆道疾病可能大CT未提示胆总管增宽,胆道结石。通过超声内镜检查,发现了胆总管下段两粒约0.4cm结石通过ERCP微创取石治愈出院。

消化内镜医生的第三只眼----超声内镜

CT

消化内镜医生的第三只眼----超声内镜

超声内镜

Q1:什么是超声内镜呢?

超声内镜(EUS):顾名思义就是超声+内镜。通过超声探头,连接于内窥镜,内窥镜体经消化道体腔,不仅可经内镜直接观察消化道管壁等结构,还可利用超声波扫描,能清晰呈现消化道黏膜形态和消化道管壁结构等情况,明确病变性质、 组织层次起源等如果把胃肠道比喻成一个房子,那胃镜、肠镜可以很直观的观察房间内部的结构,比如墙壁颜色,家具摆放等等,那超声内镜则可以帮助医生透过墙壁观察墙体内部及外部结构,包括屋内电线、水管,以及屋子外面堆放的杂物

消化内镜医生的第三只眼----超声内镜

将胃镜或肠镜检查和超声检查合为一身,可以在消化道对消化壁及壁外肉眼无法观察的组织进行超声检查。因此,超声内镜又称“内镜医生的第三只眼”

消化内镜医生的第三只眼----超声内镜

消化内镜医生的第三只眼----超声内镜

Q2:什么时候需要做超声内镜呢?

超声内镜的适应证广泛,当胃肠镜发现黏膜下隆起或邻近器官疑有病变,经普通内镜及体表超声不能明确诊断者,都可以进行超声内镜检查。1)消化道粘膜下肿物2)消化道肿瘤3)胆胰疾病4)纵膈病变5)盆腔及直肠周围疾病的诊断6)判断食管静脉曲张程度和栓塞治疗的效果7)超声引导下微创治疗

目前超声内镜检查在我院消化内科内镜中心已广泛开展,包括微探头超声(小超)和多普勒超声内镜(大超)。目前消化内科罗咏萍副主任独立完成超过500例次的超声内镜大超检查,同时在超声引导下胰腺穿刺明确了不少胰腺病变性质。消化内科唐欢副主任医师在2023.12.17第四届东方消化内镜学术大会暨第六届中国介入性超声内镜学术大会之超声内镜病例大赛中,从100位参赛选手中脱颖而出,晋级全国10强,最终荣获“全国三等奖”。

消化内镜医生的第三只眼----超声内镜消化内镜医生的第三只眼----超声内镜

我院消化内科是在宜宾市唯一有超声多普勒内镜(大超)检查设备的科室。根据文献报道,对微小胆管结石或者胰胆管以及胰腺的微小病变,磁共振胰胆管显像(MRCP)和逆行胰胆管造影(ERCP)的阳性率为90%,超声内镜的阳性率在95%。这样就多了一个辅助诊断胆胰疾病的好办法。

我院消化内科是宜宾市重点专科、四川省甲级重点专科2023年“川渝共建”省级临床重点专科,下设食管胃肠胰腺病专业组、肝病专业组、内镜诊治组,率先在宜宾市开展多项三、四级内镜下技术,特别擅长早期食管胃肠癌的内镜下微创治疗及疑难肝病诊治2015年成为四川省早期胃癌筛查协作中心第一批成员单位,2019年入选国家重大卫生项目---上消化道癌机会性筛查项目点2022年入选为结直肠癌人群筛查项目点。年诊治门诊病人6万余人次,住院3700余人次,内镜诊治量3万人次急危重症病例40%,疑难病20%,在四川省卫健委临床服务能力排名中多年处于全省前十,2021、2022年均位居第二



[本条信息由 消化内科 陈忠华 上传]

上一条:护理循证实践:构建临床问题的探索与优化—第三十七期护理学术沙龙活动下一条:喜报!华西宜宾医院内分泌科科普视频入围2023年国家级新时代健康科普作品征集大赛