2026年03月19日 星期四 [关闭窗口]    
请稍候...
 宜宾市第二人民医院  院内新闻 

脂肪肝可逆转,但也可能癌变!查出脂肪肝怎么办?专家解答→  

上一条  发布日期:2021-03-22 21:17:54 更新日期:2021-03-22 21:29:56 点击次数:5110   下一条

脂肪肝可逆转,但也可能癌变!查出脂肪肝怎么办?专家解答→

酒都播报
原创
2021-02-13 15:38:18
关注
丨记者:张晶 袁松 旭婷 玉鑫


                         无标题信息-邓红梅-2021.03.22



春节期间家人朋友各种聚会肯定是少不了的,每天都是各种大鱼大肉的。偶尔这么吃吃没问题,但如果天天这么吃,很可能就会生病了。今天,我们就来和大家聊聊一种听起来好像和吃有密切关系的疾病——脂肪肝。


脂肪肝也称脂肪性肝病,是指脂肪在肝内堆积过多导致肝细胞发生病变的一种临床病理综合症。随着健康体检的普遍开展,身边越来越多的人被发现患有脂肪肝。胖子有脂肪肝不奇怪,但有些瘦子也被查出了脂肪肝,这又是为什么?

                           无标题信息-邓红梅-2021.03.22


宜宾市第二人民医院消化内科主任医师  陈忠华
形成脂肪肝的原因有哪些呢?比较常见的原因有四个。第一个就是饮酒。第二个原因就是体重超标,特别是肥胖症。第三个原因是血脂高,我们主要指的是甘油三酯。第四个原因就是糖尿病。还有一些遗传性的肝病,比如说Willson病这些,也可以表现为脂肪肝。


我们都知道,肝脏是人体的消化器官,是人体的代谢中心站“化工厂”。现在检测出患有脂肪肝的人是越来越多了,但大多数人自身都没有感觉不适症状。那么,脂肪肝有什么危害呢?


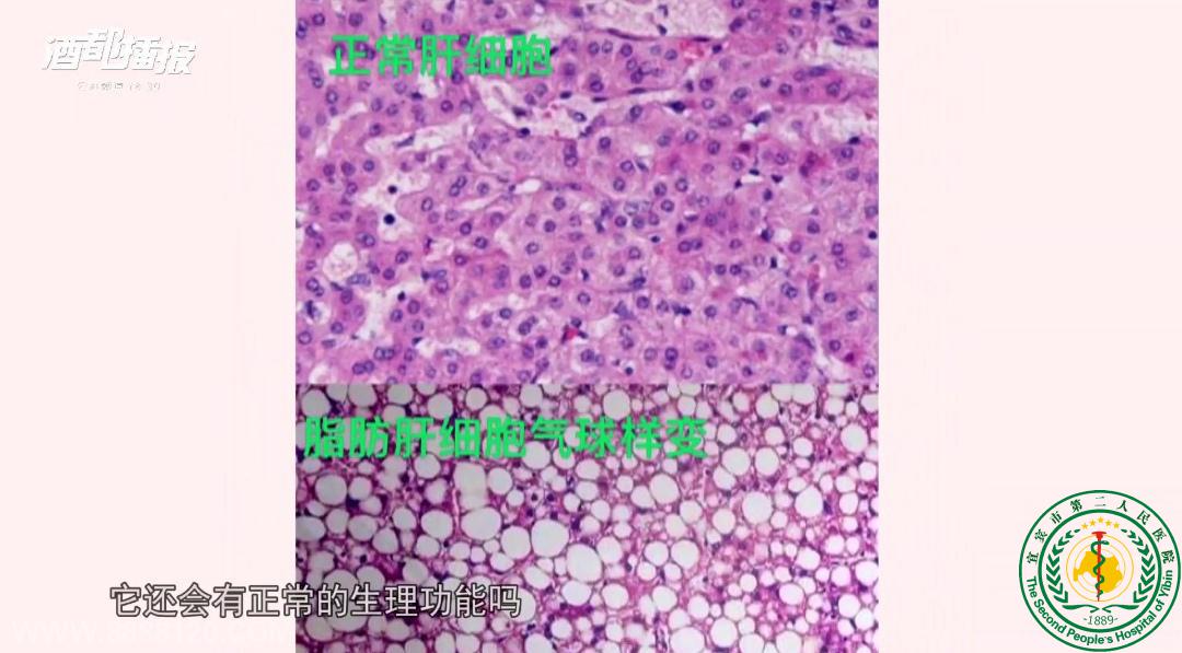
我这个地方有图片,大家可以看一看。左边这个是我们在显微镜下看到的人的正常的肝细胞,右边是在显微镜下看到的脂肪肝病人的肝细胞。你看,大量的肝细胞都已经发生了脂肪的变性,发生了气球样变。也就是说,正常的肝细胞已经变成了像气球一样的,这些白色的,像气球一样的东西。大家可以想一想这样的肝细胞,它还会有正常的生理功能吗?这个是不言而喻的。大家再看一下我们正常人的肝脏。它的颜色是紫红色的,大小也是很正常的,但出现脂肪肝以后,它的颜色就变成黄色的。如果病因没有去除的话,最后是可以发展成肝硬化的,这个肝脏就缩小了。缩小了以后,肝脏的功能就要受到很大的影响,我们的生命就会受到很大的影响。


                            无标题信息-邓红梅-2021.03.22
因为脂肪肝患者早期是没有不适症状的,所以许多人都没有加以控制,导致病情越来越严重。那么得了脂肪肝,如果控制不好,会发展成什么样呢?


                           无标题信息-邓红梅-2021.03.22


得了脂肪肝以后会产生什么后果呢?它是一个疾病的进展,五步曲,但是并不是说它每一步都要进行下去。


第一步就是一个单纯的脂肪肝,也就是说,病人他只是发现了有脂肪肝,但是他的肝功能,他的转氨酶,这些都是好的。现在这个就是单纯性的,就是第一步。但是病因没有去除,那么病情就会继续发展。


第二步就是脂肪性肝炎。脂肪性肝炎的时候,就是你的肝脏的酶学,当你抽血化验的时候,它就会有异常。有些指标就会升高了。如果明显的时候,病人就可能有一些肝炎的症状,甚至有严重的病人来住院,出现吃不下东西了,出现腹水了。


第三步就是肝发生纤维化了。


第四步就是肝硬化。


第五步,有极少数的人,会发展为肝癌。也就是说,脂肪肝他还是可以发展成肝癌的。所以说我们不能认为脂肪肝没什么。


如果得了脂肪肝以后及时治疗,是否可以恢复到完全正常呢?又应该怎么治疗,注意哪些问题呢?


脂肪肝最主要的就是针对病因的治疗。你是什么原因引起的,就首先要从病因上去控制。比如说你是饮酒引起的,肯定第一个就是要戒酒。如果你是体重超标引起的,肯定要减体重。那么,体重要减少多少才能达到一个比较好的效果呢?一般来说,减少7%-10%。那你的肝脏的转氨酶如果升高了,就会恢复正常,你的(肝)脂肪变性就会减轻,或者是消失。如果是甘油三酯增高比较明显,那么应该在医生的指导下,要加一点降低甘油三酯的药物。如果是糖尿病引起的,你肯定要把血糖控制好,要用控制血糖的药物,这个就在糖尿病专科的医生那边去就诊。只有把血糖控制好了以后,血脂也会控制的比较好,那么脂肪肝才可以减轻。


那么脂肪肝容不容易逆转呢?那要看你是在哪一个阶段,如果是在比较早期的阶段,它也是可以逆转的。


鉴于很多脂肪肝病人是由于饮食不当引起的,陈医生还特别指出脂肪肝病人应采用地中海饮食,配合适量的运动来进行治疗。那么,地中海饮食是什么意思呢?


                             无标题信息-邓红梅-2021.03.22


我有地中海饮食的一个图谱,大家可以看到是这一个金字塔的饮食的指导。那个塔尖是什么意思呢?就是你要少吃的东西。少吃的东西就是红肉,还有甜品。甜的东西,或者是饮料等等,都要少吃。其他的鸡蛋、鸡肉,还有奶制品等,可以适当地吃。可以多吃点鱼类、瓜果蔬菜、五谷杂粮,还有橄榄油等也是可以多吃的。那么通过这样的饮食,大家就会在总的能量上面会有一个控制,就不容易产生脂肪的沉积。


虽然脂肪肝属可逆性疾病,早期诊断并及时治疗一般预后情况尚可,但该疾病仍是对人体危害极大的肝脏疾病,大家一定要重视起来。



                                                                                                                                                                                                                           来源:酒都播报

                                                                                                                                                                                                                         平台编辑:周琳


[本条信息由 干部保健科 邓洪梅 上传]

上一条:专家开讲:体检发现的肺结节,离癌症有多远?下一条:怎么吃才最健康?宜宾市二医院郑教授给你6条核心推荐