2026年03月16日 星期一 [关闭窗口]    
请稍候...
 宜宾市第二人民医院  院内新闻 

CT磁共振科联合体检中心推出低剂量螺旋CT技术与肺癌早期筛查  

上一条  发布日期:2015-11-17 07:38:54 更新日期:2015-12-10 11:13:25 点击次数:16284   下一条

CT磁共振科联合体检中心推出低剂量CT技术和早期肺Ca筛查

 

        CT磁共振科联合体检中心推出主要应用于肺癌早期筛查的低剂量CT技术,为广大宜宾人民健康保驾护航。

一、肺癌早期筛查的意义

    1、肺癌是当前世界各地最常见的恶性肿瘤之一,在我国几大主要城市中,肺癌已成为成年男性最常见的恶性肿瘤。

    2、目前中晚期肺癌预后不良,5年生存率仅为15%-16% [1]。如果能在早期阶段(尤其是Ⅰ期)检出并及时进行手术切除,则预后将显著改善,五年生存率将大大提高。

    3、多年来,国内外学者一直致力于找寻安全有效的筛查手段,以实现肺癌的早期诊断和早期治疗,并最终提高生命周期和生活质量。

二、肺癌的筛查方法

    我国肺癌早期筛查现状:目前无明确指南,各级医疗机构采用的方法不统一,主要用X线照片(CRDR),还有用照光的(三级医院已禁用),部分用常规剂量CT,仅少数用低剂量CT体检。

    1、照光或照片价廉,但不易发现早期病变,主要有两方面的原因:①周围型小肺癌与病灶周边肺组织对比度差;②肺组织与纵隔、心脏及膈肌有重叠。照片虽然射线辐射量低,但检出时多为晚期肺癌,丧失手术切除机会,所以多数学者不推荐X线胸片(CRDR)作为肺癌筛查工具[2]

    2CT横断面断层成像,可以发现位于解剖学死角病灶或因组织结构重叠等原因造成的病灶遗漏,明显提高了肺内小结节病变的检出率。但常规螺旋CT检查时,吸收X线剂量较大(64层以上CT每次检查4-5mSv,相当于50X线胸片),往往不被大家接受或主管部门推荐。

    3、低剂量螺旋CT是对高危人群进行肺部筛查,有助于发现早期肺癌,特别是周围型非小细胞肺癌,其检出率约为胸片的10倍,可发现肺部1mm微小结节,受检者辐射剂量降低90%我院高端螺旋CT(SOMATOM Definition Flash CTGE CT680)低剂量肺部扫描可达0.5mSv以下,相当于35张胸片(拍摄1张常规DR胸片辐射剂量为0.154±0.054mSv[3])

三、低剂量肺CT应该成为肺癌筛查“首选”

    2011年,美国国家肺癌筛查试验(NationalLung Screening TrialNLST)的随机对照研究结果显示,与X线胸片相比,采用低剂量螺旋CT对肺癌高危人群进行筛查可使肺癌病死率下降20%,且辐射剂量显著降低。为此,美国多家权威医学组织陆续推出了肺癌筛查指南,推荐在高危人群中进行低剂量螺旋CT肺癌筛查[4]

 

(附宜宾二医院3个病例)

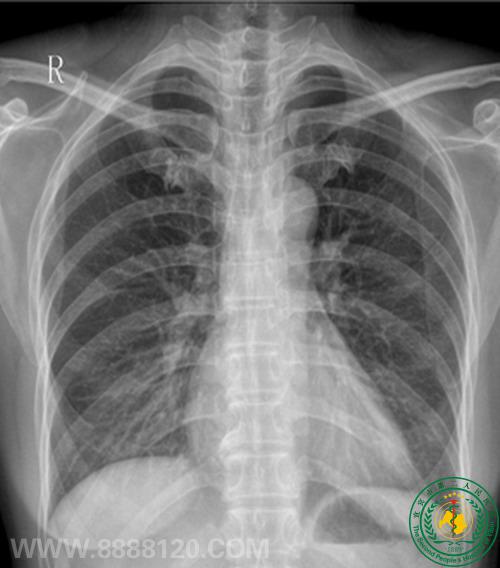
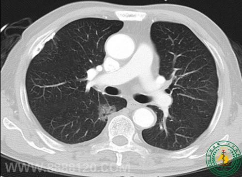
    病例51病员无身体不适,例行体检。

    DR 未见异常,CT示左肺固有上叶一磨玻璃密度样结节,直径约1.6cm,考虑为肿瘤性病变可能。术后病检:符合原位腺癌(细支气管肺泡癌),支气管断端未查见肿瘤累及。

我科推出低剂量螺旋CT技样与肺癌早期筛查我科推出低剂量螺旋CT技样与肺癌早期筛查

我科推出低剂量螺旋CT技样与肺癌早期筛查我科推出低剂量螺旋CT技样与肺癌早期筛查

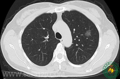
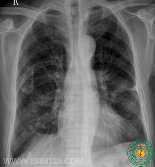
    病例75病员诉胸闷,无胸痛。

    DR示双侧胸膜钙化,CT示右肺下叶背段磨玻璃密度结节,疑为肺Ca,不完全除外感染性病变。肺穿刺少许组织送病检:结果为肺泡细胞癌。

我科推出低剂量螺旋CT技样与肺癌早期筛查我科推出低剂量螺旋CT技样与肺癌早期筛查

我科推出低剂量螺旋CT技样与肺癌早期筛查我科推出低剂量螺旋CT技样与肺癌早期筛查

    病例3 65  胸痛,余无异常。

    DR 示右上肺炎症,CT示右上肺磨玻璃密度结节,考虑多为肺Ca。肺穿刺少许组织送病检:结果为肺泡细胞癌。

我科推出低剂量螺旋CT技样与肺癌早期筛查我科推出低剂量螺旋CT技样与肺癌早期筛查

我科推出低剂量螺旋CT技样与肺癌早期筛查我科推出低剂量螺旋CT技样与肺癌早期筛查

 

参考文献:

[1]EttingerDS.Ten years of progress in non-small cell lung cancer[J].J Natl ComprCanc Netw,2012,10(3):292-295.

[2]OkenMM,HockingWG,KvalePacetal.Screening by chest radiograph and lung cancer mortality:theProstate,Lung,Colorectal,and Ovarian(PLCO) randomizedtrial[J].JAMA,2011,306(17):1865-1873.

[3] 宋鑫魏君洪常华等.胸部 DR 双能量减影与 DR 胸片及胸部 CT 吸收剂量比较[J].中国老年学杂志 2014 ,34(12),6644-6645.

[4] National Lung Screening Trial Research Team,AberleDR,AdamsAM,etal.Reduced lung-cancer mortality    with low-dose computed tomographic screening[J].N Engl J Med,2011,306(5):395-332.

检查地址:

二医院南区 负一楼CT室(SOMATOM Definition Flash CT

二医院总院D区一楼CT室(GEOptima CT680

 

欢迎垂询、谢谢您的信任!

健康咨询:

CTMRI科南区0831-2379180 总院0831-8255065

体检中心总院0831-8237452 南区0831-2379364

 

本文作者:刁显明,陈洪亮,邱丽华 [本条信息由 医学影像中心 陈洪亮 上传]

上一条:宜宾市委党校卢伟教授为胃肠肛肠疝外科做专题讲座下一条:四川省第十四次急诊医学学术会议学习心得