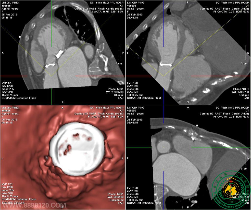
我院开展炫速双源CT对风心病的换瓣或成形术术前、术后评估技术  
上一张下一张
 
我院开展炫速双源CT对风心病的换瓣或成形术术前、术后评估技术3851
宜宾市第二人民医院 图文