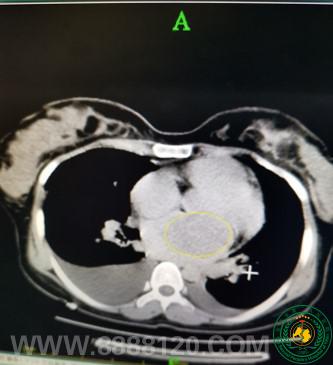
宜宾二医院胸心外科紧急抢修“心脏”发动机成功挽救一名急危重症患者  
上一张下一张
 
宜宾二医院胸心外科紧急抢修“心脏”发动机成功挽救一名急危重症患者27291
宜宾市第二人民医院 图文