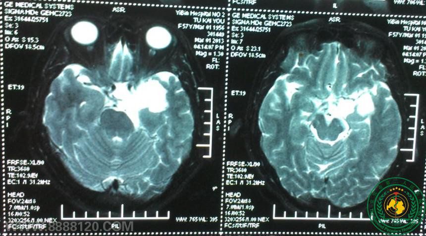
我科顺利完成颅内毗邻脑干肿瘤切除术一例  
上一张下一张
 
我科顺利完成颅内毗邻脑干肿瘤切除术一例5902
宜宾市第二人民医院 图文