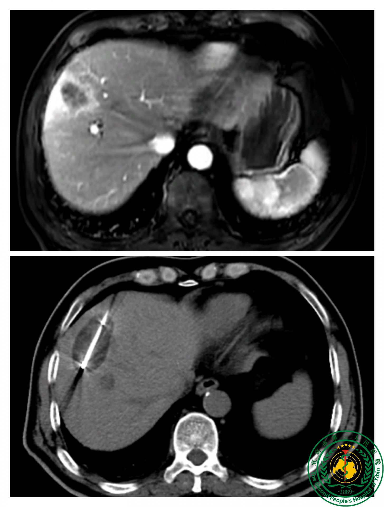
介入科顺利完成宜宾市首例经皮肝穿刺肿瘤冷冻消融治疗!  
上一张下一张
 
介入科顺利完成宜宾市首例经皮肝穿刺肿瘤冷冻消融治疗!51663
宜宾市第二人民医院 图文