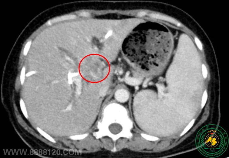
突破生命禁区!我院介入科成功完成川南首例、四川地市级医院首例经皮肝肿瘤纳米刀消融术,为肝门部恶性肿瘤患者带来新希望  
上一张下一张
 
突破生命禁区!我院介入科成功完成川南首例、四川地市级医院首例经皮肝肿瘤纳米刀消融术,为肝门部恶性肿瘤患者带来新希望62544
宜宾市第二人民医院 图文