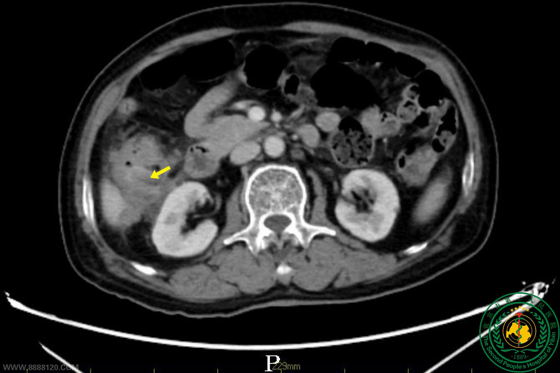
宜宾二院多学科助力,为七旬老人切除巨大肠癌  
上一张下一张
 
宜宾二院多学科助力,为七旬老人切除巨大肠癌51745
宜宾市第二人民医院 图文