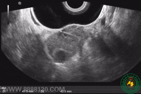
活泼过头的附件  
上一张下一张
 
 活泼过头的附件  52428
宜宾市第二人民医院 图文