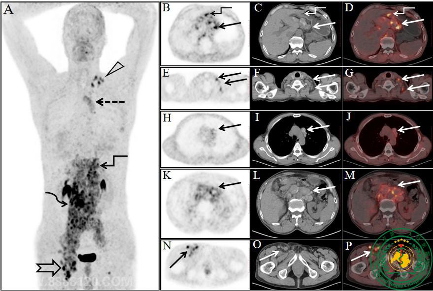
喜报!我院核医学科团队在国际知名核医学期刊连发2篇SCI论文!  
上一张下一张
 
喜报!我院核医学科团队在国际知名核医学期刊连发2篇SCI论文!60619
宜宾市第二人民医院 图文